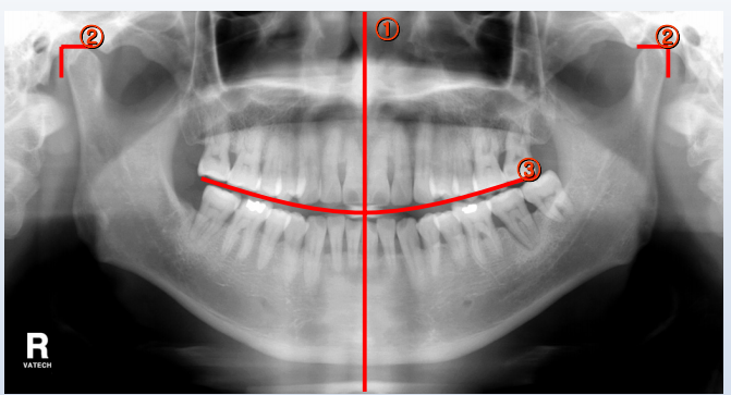
올바른 파노라마 영상 (축소/확대/흐릿/어두움)
<올바른 파노라마 영상>
- 전치부가 화면의 센터 수직라인과 일치해야 함
- 좌우 TMJ의 높이 및 여백이 같아야 함
- 교합면의 스마일라인이 완만한 곡선을 이루어야 함

① 목과 머리 주변의 인공부착물제거 (안경, 빗, 귀걸이, 보청기등)

② 수진자를 장비쪽으로 안내하여 표시된 부분에 발끝 선을 맞춤 (손잡이를 잡지 않았을 경우 뒤로 넘어질 정도가 되어야함)

③ 수진자가 손잡이를 잡도록 함

④ 바이트 블록에 위생커버를 씌우고, 바이트 블록 홈에 전치를 물게함

⑤ 수평빔을 수진자의 프랑크푸르트 라인에 맞춤

⑥ 수직빔을 수진자의 정중앙에 맞춤

⑦ 견치빔을 상악 견치(3번) 정중앙에 오도록 조정 (입을 다물고 있을 경우 입꼬리 부분)

<자세불량영상>
수진자가 바이트 홈이 파인 부분에 정확히 물고 있는지, 견치빔을 3번에 정렬되어 있는지 확인
- 전치부 축소

현상 : ① 전치부가 흐리고 좁게 나타나며 작은 어금니는 경우에 따라 겹쳐 보임
원인 : ① 바이트 블록을 너무 깊게 물었거나, 견치빔을 4번쪽으로 맞추었을 때 ② 수진자가 너무 앞에 위치했을 때
해결책 : ① 수진자가 바이트 블록을 정확히 물고 있는지 확인 ② 견치빔을 정확히 맞춤
- 전치부 확대
현상 : ① 전치부가 흐리고 넓으며, 하악골이 어둡게 나타남
원인 : ① 수진자가 너무 뒤에 위치했을 때 ② 견치빔을1~2번에 맞추었을 때
해결책 : ① 수진자가 바이트 블록을 정확히 물고 있는지 확인 ② 견치빔을 조절
환자의 고개가 숙이거나, 들었거나, 좌우 및 자세가 틀어진 경우를 확인
- 하악 전치부 부위가 부분적으로 확대된 영상은 고개가 숙인 경우 발생(일명 V자 영상)

현상 : ① 부드러운 스마일라인이 아닌 V자형 치아 영상이 획득됨
원인 : ① 수진자가 고개를 너무 숙였을 때
해결책 : ① 수진자가 고개를 들도록 버티컬 케리지를 올림
- 상악 전치부 부위가 부분적으로 확대된 영상은 고개를 든 경우 발생

현상 : ① 상악 전치부 뿌리가 흐리게 나타나고 치아 모양이 “–“ 자를 나타냄
원인 : ① 수진자가 고개를 너무 들었을 때
해결책 : ① 수진자가 고개를 숙이도록 버티컬 케리지를 내림
참고사항 : ① 하악부를 선명하게 보기 위해 의도적으로 위와 같이 촬영하기도 함
- 한쪽으로 기울어질 경우는 환자의 좌우가 기울어져서 발생

현상 : ① 영상이 한쪽으로 기울어져 보이며, 좌우 확대율이 다르게 보이고 흐리게 보임
원인 : ① 수진자가 고개를 기울였을 때
해결책 : ①수진자의 얼굴에 수직빔을 정확히 맞춤 (Mid-Sagittal plane)
- 좌우 확대울이 다른 경우 환자의 몸이 틀어져서 발생

현상 : ① 영상의 좌우 확대율이 다르게 보이며, 한쪽 턱이 길게 보임
원인 : ① 수진자가 고개를 돌렸을 때
해결책 : ① 수진자의 얼굴에 수직빔을 정확히 맞춤 (Mid-Sagittal plane) ② 수진자의뒤쪽에서정렬확인
- 전치부가 기둥같이 흐릿한 영상이 보이는 경우 환자의 경추를 수직으로 반듯하게 안내

현상 : ① 영상 중앙에 피라미드 형태의 Ghost-Image(하얗게보이는부분)가 나타남
원인 : ① 수진자의 경추가 수직으로 반듯하게 서지 못하고 굽혀진 상태로 촬영
해결책 : ① 수진자의 고개를 똑바로 세우고, 턱은 당기며 가슴은 쫙펴줌 ② 수진자가 고개를 들도록 버티컬 케리지를 올림
- Ghost 영상

현상 : ① 금속 제품에 의한 Ghost Image라 불리는 허상이 나타남
원인 : ① 귀걸이 등 금속제품을 착용했을 때
해결책 : ① 안경, 귀걸이, 목걸이, 머리핀, 보청기등의 장신구를 제거한 후 영상을 촬영
- 영상이 너무 밝고 흐리게 촬영된 영상(관전압,관전류 상향조정)

현상 : ① 영상이 너무 밝게 나타남
원인 : ① X-선 조사량이 너무 낮은 경우 발생 할 수 있는 현상
해결책 : ① 관전압(kVp), 관전류(mA) 설정을 상향 조정하여 환자에 적합한 조사량이 주어질 수 있도록 함
- 영상이 너무 어둡게 나타날때 (관전압,관전류 하향조정)

현상 : ① 영상이 너무 어둡게 나타남
원인 : ① X-선 조사량이 너무 높은 경우 발생 할 수 있는 현상
해결책 : ① 관전압(kVp), 관전류(mA) 설정을 하향조정하여 환자에 적합한 조사량이 주어 질 수 있도록 함